Od základu k dokonalosti
Vstupte do nové éry zdravotní péče s ultrazvukovým systémem Samsung V5.
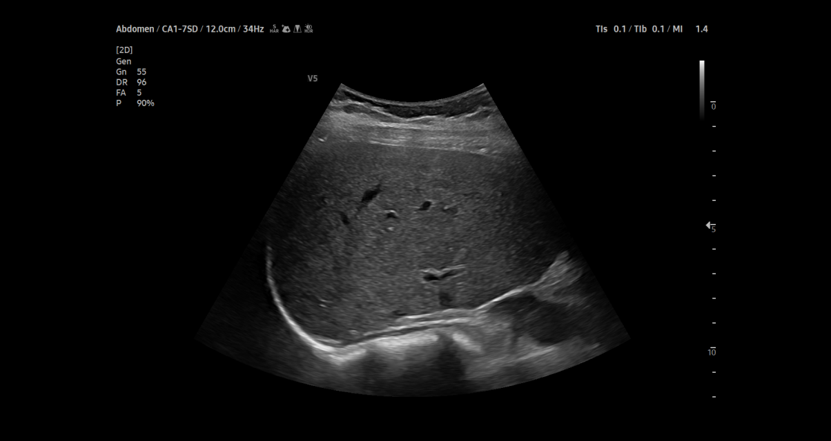
Tento systém kombinuje vyníkající zobrazovací výkon a pokročilé diagnostické funkce s umělou inteligencí. V5 podporuje širokou škálu lékařských specializací s vyníkající čistotou obrazu.
I přes malý a kompaktní vzhled, nezaostává ultrazvukový systém V5 ve výkonu a zároveň nabízí vyjímečnou mobilitu a využitelnost. Zároveň je navržen tak, aby splňoval náročné požadavky moderních zdravotníků a byl tak nepostradalným nástrojem v každém zdravotnickém zařízení.
Pokročilé funkce umělé inteligence
|  | Využívá výkon pokročilých automatizačních techlogií, které optimalizují diagnostický proces a umožňují snadno dosahovat přesných a spolehlivých výsledků. | 
 Výjimečná zobrazovací kvalita
|  | V5 vyčnívá skvělou kvalitou 2D, 3D a barevného obrazu, zajišťující jeho čistou a přesnou akvizici. | 
 Kompaktní, štíhlý, výkonný
|  | I přes malý a kompaktní vzhled, nezaostává ultrazvukový systém V5 ve výkonu a zároveň nabízí vyjímečnou mobilitu a využitelnost. | 
Efektivita pracovních postupů
|  | Zvyšuje efektivitu díky pokročilým řešením pracovních postupů, vzdálenému přístupu, většímu zobrazení na obrazovce a dalším možnostem. | 
Zvýšení diagnostické přesnosti v obecném zobrazování
 Využíjte výkon pokročilých automatizačních technologií, které optimalizují diagnostický proces a umožní Vám tak snadno poskytovat přesné a spolehlivé výsledky.
|  | MV-FlowTM vizualizuje mikrocirkulační a pomalý průtok krve. Barevně zobrazuje intenzitu průtoku krve. Je vhodný pro pozorování mikrocirkulačního průtoku krve a objemu pomalého průtoku krve. | 
|  | ShadowHDRTM selektivně používá vysokofrekvenční a nízkofrekvenční ultrazvuk k identifikaci stínových oblastí, jako je hlava plodu nebo páteř, kde dochází k útlumu. |