Popis
Efektivita při každodenním ultrazvukovém skenování
Začněte svou cestu k efektivní zdravotní péči s ultrazvukovým systémem Samsung V6.
Špičkový zobrazovací engine Crystal Architecture™ společnosti Samsung navíc zajišťuje vysokou spolehlivost ultrazvukového vyšetření.
Naše robustní řešení pro všeobecné zobrazování nabízí jak čistotu obrazu, tak pokročilé automatické funkce založené na využití umělé inteligence.
Inspirující každodenní efektivita s V6
|
Efficient Care, zažijte jednoduchost s naším snadno použitelným systémem, který byl speciálně navržen tak, aby vám ulehčil práci, zvýšil efektivitu a šetřil čas. Náš výkonný systém je navíc vybaven baterií, která poskytuje další provozní pohodlí. Ultrazvukový systém Samsung V6 je partnerem, na kterého se můžete spolehnout a který vám zajistí výjimečnou efektivitu při plnění vašich každodenních ultrazvukových potřeb. |
Zobrazovací technologie založené na architektuře Crystal Architecture™
|
Crystal Architecture™, zobrazovací architektura, která kombinuje CrystalBeam™ a CrystalLive™, je založena na S-Vue Transducer™, poskytuje vysoce kvalitní obraz. CrystalBeam™ je nová technologie formování paprsku, která přináší vysoce kvalitní rozlišení obrazu a větší uniformitu obrazu. CrystalLive™ je nejnovější ultrazvukový engine společnosti Samsung s vylepšeným zpracováním 2D obrazu, 3D vykreslováním a zpracováním barevného signálu, díky kterým nabízí mimořádně kvalitní obraz a efektivní práci u složitých případů. |
![]() |
Vynikající kvalita obrazu pro spolehlivost a přesnost |
Zlepšení viditelnosti skrytých struktury ve stinných oblastech |
ShadowHDR™ selektivně používá vysokou a nízkou frekvenci ultrazvuku k identifikaci stinných oblastí, jako je hlava plodu nebo páteř, kde dochází k útlumu.
![]()
Zlepšení kvality obrazu díky redukci šumu |
ClearVision redukuje šum a zlepšuje vykreslení hran a vytváří tak ostré 2D obrazy pro optimální diagnostiku. ClearVision navíc poskytuje optimalizaci pro konkrétní aplikace a pokročilé časové rozlišení v režimu živého skenování.
![]()
Zostření rozmazaných oblastí v obraze |
HQ-Vision™ zajišťuje ostřejší obraz tím, že potlačuje charakteritiku ultrazvukových systémů, které jsou mírně rozmazané oproti skutečnosti.
![]()
Vizualizace pomalého toku v mikrovaskulárních strukturách |
MV-Flow™ nabízí pokročilé barevné zobrazení pro vizualizaci pomalého průtoku v mikrovaskulárních strukturách. Vysoká snímková frekvence a pokročilé filtrování umožňují MV-Flow™ poskytnout detailní pohled na průtok krve, ve vztahu k okolní tkáni nebo patologii, se zvýšeným prostorovým rozlišením.
![]()
Zobrazení průtoku krve v cévách ve 3D zobrazení |
LumiFlow™ je funkce, která vizualizuje průtok krve v trojrozměrné podobě a pomáhá pochopit strukturu krevního toku a strukturu malých cév.
![]()
Vyšetření periferních cév |
S-Flow™směrová technologie, která pomáhá detekovat periferní cévy. Umožňuje přesnou diagnózu v případech, kdy je vyšetření krevního průtoku velmi obtížné.
![]()
![]() |
Dosáhněte vyšší diagnostické preciznosti s komplexními nástroji |
Zdokonalte svou každodenní ultrazvukovou diagnostiku s přístrojem V6, všestranným řešením vytvořeným pro efektivní podporu vašich klinických požadavků v oblasti všeobecného zobrazování. Využijte naše nejnovější automatizované nástroje, které vám umožní pracovat s větší lehkostí a dosahovat spolehlivých výsledků. Naším cílem je pomáhat vám při poskytování kvalitní péče o pacienty, a proto je V6 pro vás vynikající volbou.
Zobrazení a kvantifikace tuhosti tkáně neinvazivní metodou |
S-Shearwave Imaging™ umožňuje neinvazivní hodnocení tuhých tkání v různých aplikacích. Barevný elastogram, kvantitativní měření, možnosti zobrazení a možnost výběru oblasti zájmu lékařem jsou užitečné zejména pro přesnou diagnostiku onemocnění prsu a jater.
![]()
Kvantitativní měření jaterního tuku pomocí ultrazvuku |
TAI™ (Tissue Attenuation Imaging) umožňuje kvantitativní měření tkáňového útlumu pro hodnocení steatotických změn jater.
TSI™ (Tissue Scatter Distribution Imaging) umožňuje kvantitativní měření distribuce tkáňového rozptylu pro hodnocení steatotických změn jater.
![]()
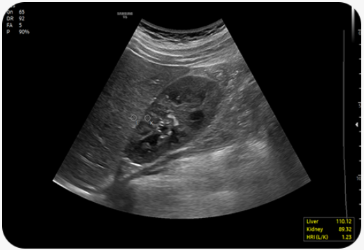
Hepato-renální index s automatickým doporučením ROI |
HRI™ (Hepato Renal Index) je index pro kvantifikaci steatózy jater na základě porovnání echogenity jaterního parenchymu a kůry ledvin. EzHRI™ umístí 2 ROI na jaterní parenchym a kůru ledvin a poskytne poměr HRI.
![]()
Analýza vybraných lézí prsu a report o hodnocení prsu |
S-Detect™ pro vyšetření prsou, který analyzuje vybrané léze v ultrazvukovém vyšetření prsu a zobrazuje data této analýzy, používá BI-RADS ATLAS* (Breast Imaging-Reporting and Data System, Atlas) pro zajištění standardizovaného hlášení a pomáhá při diagnostice pomocí zjednodušeného pracovního postupu.
* Jedná se o registrovanou ochrannou známku společnosti ACR a všechna práva jsou vyhrazena společnosti ACR.
![]()
Analýza vybraných lézí štítné žlázy a report o hodnocení štítné žlázy |
S-Detect™ pro vyšetření štítné žlázy, který analyzuje vybrané léze v ultrazvukovém vyšetření štítné žlázy a zobrazuje data této analýzy, poskytuje standardizované hlášení na základě pokynů ATA, BTA, EU-TIRADS a K-TIRADS* a pomáhá při diagnostice pomocí zjednodušeného pracovního postupu.
Zobrazení v rozšířeném zorném poli |
Panoramic+ snímky se zobrazují jako rozšířené zorné pole, takže uživatelé mohou zkoumat rozsáhlé oblasti, které se nevejdou na jeden snímek. Panoramic+ zobrazování podporuje také úhlové snímání scény lineární sondou.
Barevné zobrazení tuhosti tkání |
Technika pro zobrazování elasticity, ElastoScan+™, sleduje přeměnu tuhosti tkáně působením vnitřních nebo vnějších sil a převádí relativní tuhost na barevný obraz.
Snadný výpočet poměru tuhosti mezi dvěma ROI |
E-Strain™je navržen tak, aby umožnil rychlý a snadný výpočet poměru tuhosti mezi dvěma zájmovými oblastmi. Jednoduchým nastavením obou cílových hodnot můžete získat přesné a konzistentní výsledky a činit informovaná rozhodnutí při mnoha typech diagnostických postupů.
Kontrastní ultrazvukové zobrazení |
CEUS+ je technologie kontrastního zobrazení, která využívá vlastností ultrazvukových kontrastních látek. Mikrobublinová kontrastní látka, vstříknutá do těla žilou, podléhá nelineární rezonanci v důsledku ultrazvukové energie. Kromě nelineárního signálu generovaného touto metodou je ultrazvukový kontrastní obraz tvořen pomocí harmonického signálu, a využívá se tak k diagnostice na základě kontrastních charakteristik v čase.
Automatizovaný nástroj pro tvorbu reportů diagnostiky srdce |
Funkce HeartAssist&trade, založená na technologii Deep Learning, zajišťuje automatickou klasifikaci ultrazvukového obrazu na zobrazení potřebná pro diagnostiku srdce a automaticky poskytuje výsledky měření.
![]()
Kvantifikace pohybu stěny levé komory |
Strain+ je kvantitativní nástroj pro měření globálního a lokálního pohybu stěny levé komory (LK). V funkci Strain+ jsou zobrazeny tři standardní pohledy na LK a souhrn ve vzoru terče na jedné obrazovce pro snadné a rychlé posouzení funkce LK.
![]()
Měření ejekční frakce levé komory |
AutoEF je funkce, která pohodlně měří a kvantifikuje ejekční frakci. Výběrem tří bodů levé komory se vypočítá objem na konci systoly a na konci diastoly, což napomáhá rychlému a efektivnímu posouzení funkce srdce.
![]()
Hodnocení a zpráva o pohybu stěn pro určení funkce srdce a cév |
Balíček StressEcho obsahuje skórování pohybu stěn a vytvoření zprávy. Obsahuje cvičební StressEcho, farmakologické StressEcho, diastolické StressEcho a volně programovatelné StressEcho.
![]()
Detekce funkčních změn kardiovaskulárních cév |
ArterialAnalysis™ zjišťuje funkční změny cév a poskytuje naměřené hodnoty, jako je tuhost, tloušťky intimy a medie a rychlost pulzní vlny krční tepny. Vzhledem k tomu, že k funkčním změnám dochází dříve než ke změnám morfologickým, podporuje tato technologie včasnou detekci kardiovaskulárních onemocnění.
![]()
Měření tloušťky intimy a medie jediným kliknutím |
AutoIMT je screeningový nástroj pro analýzu potenciálního rizika kardiovaskulárních onemocnění pacienta. Umožňuje snadné měření tloušťky přední i zadní stěny intimy a medie krční tepny pouhým stisknutím tlačítka.
![]()
Vyhledávání a detekce nervů pomocí technologie AI |
NerveTrack™ je funkce, která během ultrazvukového vyšetření detekuje a poskytuje informace o poloze nervové oblasti v reálném čase.
![]()
Zřetelné zobrazení hrotu jehly |
Systém NeedleMate+™ s naprostou přesností určuje polohu jehly při provádění zákroků, jako jsou nervové blokády. Lepší přesnost a efektivita zákroku je možná díky navádění paprskem.
![]() |
Optimalizujte pracovní postupy pomocí cenných nástrojů pro úsporu času |
V6 je speciálně navržen tak, aby optimalizoval efektivitu práce zdravotnických pracovníků. Zejména díky vzdálené dostupnosti, zjednodušeným pracovním postupům, širšímu zobrazení na obrazovce pro lepší uživatelský zážitek a kompaktnímu, ale výkonnému designu s možností napájení z baterie, díky čemuž je přizpůsobitelný pro různá lékařská prostředí.
Sestavení předdefinovaných protokolů pro zefektivnění vyšetření
EzExam+™ obsahuje protokoly pro vyšetření, která se v nemocnici pravidelně provádějí, aby se snížil počet kroků, které by musel lékař povést.

Porovnání předchozího a současného vyšetření na paralelním zobrazení
EzCompare™ automaticky porovná nastavení snímků, anotace a bodymarkery z předchozí studie.

Sdílení obrázků v reálném čase, diskuse a vzdálené ovládání ultrazvukového systému
SonoSync™ je řešení pro sdílení ultrazvukových snímků v reálném čase, které umožňuje hlasovou komunikaci a vzdálené ovládání pro efektivní spolupráci mezi lékaři a sonografisty na různých místech.
![]()
Vícero zobrazovacích režimů
Vyšetření lze provádět při prohlížení snímků a videí, které jsou v různých poměrech stran podle preferencí uživatele.
![]()
Přizpůsobení často používaných funkcí na dotykové obrazovce
TouchEdit umožňuje uživateli přesunout často používané funkce na první stránku systému.

Výběr sondy a přednastavení jedním kliknutím
Funkce QuickPreset umožňuje uživateli vybrat nejběžnější kombinace sond a předvoleb jedním kliknutím.
![]()
| |
(1) Ukládání obrazových dat přímo do USB paměti Funkce QuickSave umožňuje ukládat obrazová data na paměť USB přímo během vyšetření.
(2) Přiřazení funkcí tlačítkům v blízkosti trackballu V závislosti na preferencích uživatele je možné přiřadit tlačítkům kolem trackballu funkce, aby bylo celkové ovládání systému pro lékaře jednodušší a pohodlnější.
(3) Použití systému i při výpadku napájení Funkce BatteryAssist™ zajišťuje napájení systému z baterie, což uživatelům umožňuje provádět vyšetření v případě dočasného výpadku napájení. Umožňuje také přenést ultrazvukový systém na jiné místo a ihned začít skenovat.
(4) Účinný chladicí systém Účinný chladící systém ochlazuje ultrazvukový systém tím, že neustále propouští teplo ven a také snižuje hluk ventilátoru.
(5) Eco-friendly pryskyřice Vzduchové potrubí je z ekologické pryskyřice, což ukazuje snahu společnosti Samsung o ekologičtější zítřek. |
Galerie
Videa
Samsung V6
Poptávka
Vyplňte prosím níže uvedený formulář, rádi Vám pošleme požadované informace nebo cenovou nabídku.








